4 States Dental Care
A Great Dentist
Home
About
Our Team
Neosho
Monett
Webb City
Technology
Services
View All
General Dentistry
Cosmetic Dentistry
Dental Implants
Sedation Dentistry
Cleanings & Exams
Dentures & Partials
Crowns & Bridges
Gum Disease
Root Canals
Extractions - Wisdom Teeth
FastBraces
Smile Gallery
Patient Info
View Patient Info
Testimonials
Financial
Specials
FAQs
Forms
Contact
View All
Neosho
Monett
Webb City
4 States Dental Care
A Great Dentist
Request an Appointment
Like us on Facebook
Leave a Google Review
General and Aesthetic Dentistry
Neosho
(417) 355-8098
Monett
(417) 635-1173
Webb City
(417) 392-3513
Shaping Beautiful Smiles in Southwest Missouri
4 States Dental Care
>
Smile Gallery
>
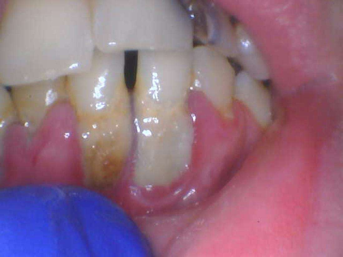
Scaling and Root Planing (SRP)
Scaling and Root Planing (SRP)
Return to Smile Gallery
Previous
Next
Click image to see a larger picture
Before
After
Still need an appointment?
Contact Us
If you have difficulty using our website, please
email us
or call us at
View the
ADA Accessibility Statement
Turn on ADA Views
OK!
×
×
Contact Us Today
Give Us A Call
Neosho -
(417) 451-1566
Monett -
(417) 635-1173
Webb City -
(417) 392-6090
Send Us an Email
Which location?
Neosho
Monett
Webb City
Request an Appointment
Contact Us
Ready to Schedule an Appointment?
Book Online
Have Questions? Contact Us:
Required Field
Your Name:
Phone:
Email:
Are you a new patient?:
Are you a?
New Patient
Current Patient
How would you like us to contact you?
Please choose
Email
Call
How did you hear about us?
Please choose
I'm an existing patient
Google/Bing
Mailer
Word of mouth
Social media
Other
Who Referred You?:
Appointment Preferences
Monday
Tuesday
Wednesday
Thursday
Friday
Your Message:
This site is protected by reCAPTCHA and the Google
Privacy Policy
and
Terms of Service
apply.
Sending...
×
This Patient's Experience
Loading Testimonial...
Loading Case...